Ιωάννης Αντωνιάδης

Νευροχειρουργός

 

 

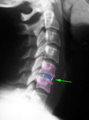
AntCervFusPlat

Η πρόσθια αυχενική σπονδυλοδεσία είναι η επέμβαση που ενδείκνυται σε ασθενείς με εκφυλιστική, τραυματική ή άλλης αιτιολογίας αστάθεια της αυχενικής μοίρας της σπονδυλικής στήλης. Ο σκοπός της είναι να συνδεθούν δύο ή περισσότεροι σπόνδυλοι του αυχένα με τη βοήθεια μοσχευμάτων. Πραγματοποιείται με προσπέλαση από την πρόσθια επιφάνεια του αυχένα, με τον ίδιο τρόπο όπως και η πρόσθια αυχενική δισκεκτομή. Είναι μια ασφαλής και δοκιμασμένη μέθοδος με όχι συχνές επιπλοκές και πολύ υψηλά ποσοστά επιτυχίας.

 

Ενδείξεις

Η συχνότερη ένδειξη της πρόσθιας αυχενικής σπονδυλοδεσίας είναι η εκφυλιστική νόσος της αυχενικής μοίρας της σπονδυλικής στήλης. Πραγματοποιείται σε ασθενείς με, συνήθως εκτεταμένη, βλάβη του μεσοσπονδυλίου δίσκου (δισκοκήλη) και συνοδά στοιχεία εκφύλισης όπως τα οστεόφυτα. Οι ανωτέρω βλάβες μπορεί να εκτείνονται σε πολλά επίπεδα της αυχενικής μοίρας της σπονδυλικής στήλης και να δημιουργούν στένωση του αυχενικού σπονδυλικού σωλήνα με αυχενοβραχιόνιο σύνδρομο ή/και αυχενική μυελοπάθεια. Μια άλλη ένδειξη είναι το κάταγμα ή υπεξάρθρημα ενός ή περισσοτέρων σπονδύλων της αυχενικής μοίρας της σπονδυλικής στήλης, όπου σκοπός της επέμβασης μετά την ανάταξη του τραυματισμού είναι η σταθεροποίηση του αυχένα. Σπανιότερες ενδείξεις είναι η διάβρωση των αυχενικών σπονδύλων από όγκο, λοίμωξη ή ρευματική νόσο.

Περιγραφή

Η έκταση της σπονδυλοδεσίας και ο τρόπος με τον οποίο πραγματοποιείται εξαρτώνται από το είδος και το μέγεθος της βλάβης που πρέπει να αναταχθεί. Στην εκφυλιστική νόσο  προηγείται της σπονδυλοδεσίας η αυχενική δισκεκτομή, σε ένα ή περισσότερα επίπεδα της αυχενικής μοίρας της σπονδυλικής στήλης. Η προσπέλαση είναι όμοια. Στη θέση του δίσκου(-ων) που αφαιρούνται τοποθετείται ένας κλωβός, κατασκευασμένος συνήθως από ειδικό πολυμερές πλαστικό, ο οποίος περιέχει στο κέντρο του οστικό μόσχευμα. Αυτό διατηρεί ή αυξάνει το ύψος του μεσοσπονδυλίου διαστήματος και διανοίγει τα νευρικά τρήματα. Σε ένα ορίζοντα μερικών μηνών στη θέση του οστικού μοσχεύματος δημιουργείται καινούργιο οστό το οποίο συνενώνει τους άνω και κάτω του μοσχεύματος σπονδύλους. Ενισχυτικά της παραπάνω αρθροδεσίας, ιδιαίτερα όταν πρόκειται να αφαιρεθούν παραπάνω τους ενός αυχενικοί δίσκοι, τοποθετείται μια μεταλλική πλάκα στην πρόσθια επιφάνεια των σπονδύλων η οποία στερεώνεται με βίδες σε αυτούς, προκειμένου να επιτευχθεί άμεση σταθεροποίηση. Στην τραυματική αστάθεια του αυχένα η επέμβαση είναι ουσιαστικά ίδια με την διαφορά ότι σε λίγες περιπτώσεις μπορεί να μην απαιτείται δισκεκτομή και η σπονδυλοδεσία να αποτελείται μόνο από την πρόσθια πλάκα και τις βίδες. Στην διάβρωση των σπονδύλων από όγκο, η επέμβαση συμπεριλαμβάνει και την αφαίρεση της χωροκατακτητικής εξεργασίας και αυτό συνήθως συνεπάγεται και αφαίρεση μέρους του σώματος του σπονδύλου.
Η πρόσθια σπονδυλοδεσία της ανώτερης αυχενικής μοίρας πραγματοποιείται σπάνια και δεν θα περιγραφεί σε αυτήν την ενότητα.

AntCervFusPeek

Πρόσθια αυχενική δισκεκτομή και σπονδυλοδεσία με κλωβό από PEEK (μπλέ) Α5-Α6. 

AntCervFusPeek2

Πρόσθια αυχενική δισκεκτομή και σπονδυλοδεσία με κλωβό από PEEK (μπλέ). 

Αντενδείξεις και επιπλοκές

Η πρόσθια αυχενική σπονδυλοδεσία δεν είναι κατάλληλη σε ασθενείς με αστάθεια της αυχενικής μοίρας της σπονδυλικής στήλης δημιουργούμενη κυρίως από τα οπίσθια στοιχεία της. Επίσης αντενδείκνυται σχετικώς σε επαγγελματίες φωνής (τραγουδιστές, ηθοποιούς κ.α.) γιατί μια από της λίγες επιπλοκές της είναι και η μετεγχειρητική δυσφωνία, σε ελάχιστους μόνιμη. Οι επιπλοκές της είναι κυρίως αστοχίες που αφορούν το τοποθετούμενο υλικό, όπως μετατόπιση του μεσοσπονδύλιου κλωβού, της πλάκας ή των βιδών. Σπανιότερα, δεν πραγματοποιείται ανάπτυξη νέου οστού μεταξύ των σπονδύλων με αποτέλεσμα την δημιουργία ψευδάρθρωσης. Η μετεγχειρητική δυσφαγία και δυσφωνία είναι όχι σπάνιες επιπλοκές, αλλά συχνότατα παροδικές. Η λοίμωξη του υλικού ή του χειρουργικού τραύματος είναι εξαιρετικά σπάνια και το ίδιο ισχύει για τους τραυματισμούς νευρικών στοιχείων, της καρωτίδας, του οισοφάγου και της τραχείας.(Δες και ενότητα Πρόσθια Αυχενική Μικροχειρουργική Δισκεκτομή)

Έκβαση

Η έκβαση της πρόσθιας αυχενικής σπονδυλοδεσίας είναι πολύ καλή όσον αφορά το στηρικτικό της σκοπό με πολύ υψηλά ποσοστά επιτυχίας. Η πρόγνωση των νευρολογικών συμπτωμάτων εξαρτάται από πολλούς παράγοντες, π.χ. στην αυχενική μυελοπάθεια και τους τραυματισμούς της αυχενικής μοίρας της σπονδυλικής στήλης από τον προϋπάρχοντα βαθμό του νευρολογικού ελλείμματος και από τον χρόνο που έχει παρέλθει από την έναρξη των συμπτωμάτων (Δες και σχετικές ενότητες).

 

AntCervFusPlat

Πρόσθια αυχενική δισκεκτομή Α4-Α5, Α5-Α6, Α6-Α7 και σπονδυλοδεσία με κλωβούς από PEEK (μπλέ) και πλάκα με βίδες Α4-Α7 (ροζ)