![]() |
Το ακουστικό νευρίνωμα είναι ένας καλοήθης όγκος του στατοακουστικού νεύρου. Τα τυπικά του συμπτώματα είναι η μείωση της ακουστικής οξύτητας, υψίσυχνες εμβοές σύστοιχα με τον όγκο και διαταραχή της ισορροπίας. Ο όγκος μεγαλώνει κατά κανόνα στο χρόνο και τα συμπτώματά του συνήθως επιδεινώνονται ή δημιουργούνται νέα εξαιτίας της πίεσης σε γειτονικά εγκεφαλικά νεύρα όπως το προσωπικό νεύρο ή στο στέλεχος του εγκεφάλου. Η θεραπεία είναι ακτινοχειρουργική με γ-knife και σε μεγαλύτερους όγκους χειρουργική. |
Επίπτωση και Αιτίες
Ο κοινώς χρησιμοποιούμενος όρος ακουστικό νευρίνωμα δεν είναι ιδιαίτερα σωστός, καθώς ο όγκος εκφύεται από τις αιθουσαίες νευρικές ίνες της εγκεφαλικής αυτής συζυγίας και η πιο σύγχρονη ονομασία του είναι αιθουσαίο σβάννωμα. Το αιθουσαίο σβάννωμα είναι ένας από τους πιο συχνούς πρωτοπαθείς όγκους του εγκεφάλου και προσβάλει περίπου 2 στους 100.000 ανθρώπους ανά έτος. Οι ασθενείς είναι συνήθως άνω των 30 ετών. Αμφοτερόπλευροι όγκοι (5% των αιθουσαίων σβαννωμάτων) και όγκοι σε νέους ανθρώπους παρατηρούνται συνήθως σε ασθενείς με Νευροϊνωμάτωση, κυρίως τύπου II, μια γενετική νόσο με αυξημένη προδιάθεση για δημιουργία πρωτοπαθών όγκων του εγκεφάλου. Οι αιτίες των υπολοίπων, σποραδικών αιθουσαίων σβαννωμάτων δεν έχουν ακόμη αποσαφηνιστεί.
Συμπτώματα
Τα συμπτώματα του αιθουσαίου σβαννώματος είναι η μείωση της ακουστικής οξύτητας, οι εμβοές, η αστάθεια, και κυρίως σε μεγαλύτερους όγκους, η κεφαλαλγία, η υπαισθησία (μούδιασμα) του προσώπου, η αδυναμία των προσωπικών μυών, η διπλωπία, η ωταλγία, η διαταραχή της γεύσης και ο υδροκέφαλος. Η μείωση της ακουστικής οξύτητας γίνεται αργά, αφορά κυρίως στις ηχητικές συχνότητες της ομιλίας (δυσκολία στην τηλεφωνική συνομιλία είναι ένα αρκετά πρώιμο σύμπτωμα) και μπορεί να είναι αιφνίδια σε 10% των ασθενών.
|
Διάγνωση Απαραίτητες είναι: Η λεπτομερής λήψη ιστορικού και η κλινική εξέταση, Η μαγνητική τομογραφία των λιθοειδών οστών, Ακουόγραμμα, Σε ορισμένες περιπτώσεις: Ηλεκτρονυσταγμογράφημα, Ακουστικά προκλητά δυναμικά. Πρόγνωση Η αύξηση του μεγέθους του αιθουσαίου σβαννώματος γίνεται με ετήσιο ρυθμό 1-10 χιλιοστών. Λίγοι όγκοι δεν αυξάνονται σε μέγεθος, και ένα μικρό, αλλά όχι αμελητέο, ποσοστό μεγαλώνει περισσότερο από ένα εκατοστό διαμέτρου ετησίως κυρίως σε ασθενείς με όγκους με κυστικά στοιχεία ή Νευροϊνωμάτωση. Η ανάπτυξη των συμπτωμάτων είναι αρκετά ανάλογη με το μέγεθος του όγκου και αυτή η αναλογία είναι ιδιαίτερα ευδιάκριτη στα σοβαρότερα συμπτώματα όπως η πάρεση του προσωπικού νεύρου και ο υδροκέφαλος. |
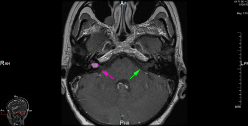
Αιθουσαίο σβάννωμα αριστερά (κόκκινο περίγραμμα). Φυσιολογικός έσω ακουστικός πόρος δεξιά (πράσινο βέλος), ακουστικό όργανο (κοχλίας) και όργανο ισορροπίας (λαβύρινθος) με κυανό βέλος. |
|
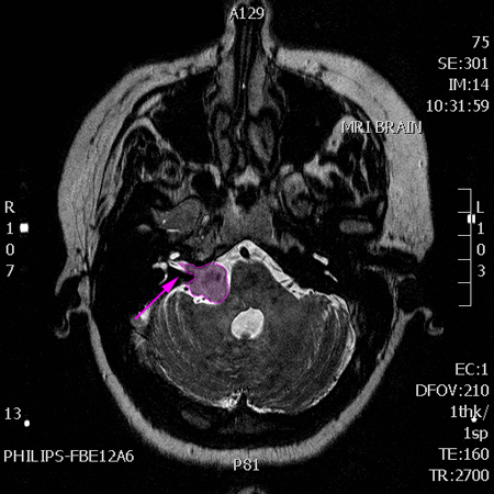
Ευμεγεθές αιθουσαίο σβάννωμα με είσοδο στον δεξιό έσω ακουστικό πόρο (βέλος) |
Θεραπεία Η θεραπεία στους ασθενείς με αιθουσαίο σβάννωμα πρέπει να είναι ιδιαιτέρως εξατομικευμένη γιατί παράγοντες όπως το μέγεθος του όγκου και ο ρυθμός αύξησής του, το είδος και ο βαθμός των συμπτωμάτων, τα απεικονιστικά ευρήματα, η ηλικία αλλά και οι προτιμήσεις του ασθενούς, όσον αφορά στον τρόπο της, επηρεάζουν την επιλογή της. Γενικότερα, η θεραπεία των αιθουσαίων σβαννωμάτων είναι ακτινοχειρουργική με γ-knife ή χειρουργική. Η ακτινοχειρουργική θεραπεία είναι επίκαιρη μόνο σε όγκους μικρότερους από 3 εκατοστά σε διάμετρο, οι μεγαλύτεροι είναι κατά κανόνα αντικείμενο χειρουργικής παρέμβασης ή σπανιότερα ακτινοθεραπευτικής. Σκοπός της ακτινοχειρουργικής είναι ή να σταματήσει την αύξηση του όγκου ή να τον συρρικνώσει και αυτό επιτυγχάνεται σε ένα ποσοστό 96%. Η ακτινοχειρουργική με γ-knife φαίνεται να πλεονεκτεί στη διατήρηση της, υπάρχουσας στη διάγνωση, ακοής και στη διατήρηση της λειτουργίας του προσωπικού νεύρου, όταν αυτό έχει επηρεαστεί, σε σχέση με την μικροχειρουργική επέμβαση, η οποία όταν είναι ολική φέρει το πλεονέκτημα της μόνιμης εξαίρεσης. Συνδυασμός των ανωτέρω 2 μεθόδων (μικροχειρουργική υφολική εξαίρεση και ακτινοχειρουργική) μπορεί επίσης να αποτελεί λύση σε μεγάλους όγκους με πίεση στο στέλεχος. Παρακολούθηση με μαγνητική τομογραφία και ακουογράμματα μπορεί να προταθεί σε επιλεγμένους ασθενείς και για συγκεκριμένο χρονικό διάστημα με, μεταξύ άλλων, μικρούς (<10 χιλιοστά σε διάμετρο) όγκους με την προϋπόθεση ότι δεν τεκμηριώνεται από αυτή αύξηση του μεγέθους μεγαλύτερη από 2 χιλιοστά ανά εξάμηνο ή επιδείνωση της ακοής. Δες και ενότητες: Εξαίρεση Όγκου Εγκεφάλου-Κρανιοτομία και Ακτινοχειρουργική γ-knife. |


