Ιωάννης Αντωνιάδης

Νευροχειρουργός

 

 

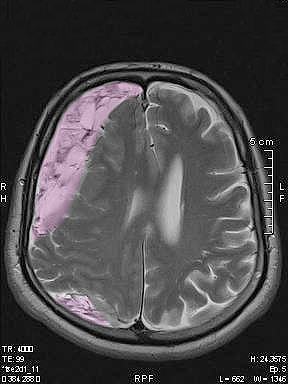
Subdural

Τα χρόνια υποσκληρίδια αιματώματα είναι αιματώματα τα οποία αναπτύσσονται στην επιφάνεια του εγκεφάλου καθυστερημένα (εβδομάδες έως και μήνες) μετά από μια, συνήθως ήπια, κάκωση της κεφαλής, κυρίως σε ασθενείς ηλικιωμένους, με διαταραχές της πήξεως του αίματος ή λαμβάνοντες αντιπηκτική ή αντιαιμοπεταλιακή φαρμακευτική αγωγή όπως η ασπιρίνη. Η ανάπτυξή τους είναι αργή και το ίδιο ισχύει για τα ποικίλα συμπτώματά τους. Η θεραπεία στα μεγάλα ή προκαλούντα συμπτώματα χρόνια υποσκληρίδια αιματώματα είναι κατά κανόνα χειρουργική με κρανιοανάτρηση ή μικρή κρανιοτομία και παροχέτευση του αιματώματος.

 

Επίπτωση και Αιτίες

Ο εγκέφαλος περιβάλλεται από 3 μήνιγγες, μεμβράνες, οι οποίες εμπεριέχουν και το εγκεφαλονωτιαίο υγρό (Ε.Ν.Υ.) το οποίο τον περικλείει. Η εξωτερική, και ισχυρότερη ονομάζεται σκληρά μήνιγγα, η επόμενη αραχνοειδής μήνιγγα (κάτω από την οποία βρίσκεται το Ε.Ν.Υ.) και η εσώτερη χοριοειδής μήνιγγα. Ο χώρος ανάμεσα στη σκληρά και την αραχνοειδή μήνιγγα ονομάζεται υποσκληρίδιος και εμπεριέχει αγγεία τα οποία συνδέουν το αγγειακό πλέγμα της επιφάνειας του εγκεφάλου με αυτό της σκληράς μήνιγγας. Μικρή ρήξη των αγγείων αυτών από τραυματισμό της κεφαλής προκαλεί αιμορραγία στον υποσκληρίδιο χώρο και σταδιακή συσσώρευση υγρού το οποίο αποτελεί, μεταξύ άλλων, προϊόν της αποδόμησης του αίματος. Η συλλογή αυτή υγρού, το χρόνιο υποσκληρίδιο αιμάτωμα, τείνει να μεγαλώνει στο χρόνο μέσω όσμωσης και μικρών συνεχιζόμενων μικροαιμορραγιών, με αποτέλεσμα να αυξάνεται η πίεση στην επιφάνεια του εγκεφάλου δημιουργώντας ποικίλα νευρολογικά ελλείμματα.

Η κάκωση της κεφαλής μπορεί να είναι πολύ ήπια και γι’ αυτόν τον λόγο περίπου 50% από τους ασθενείς με χρόνιο υποσκληρίδιο αιμάτωμα δεν μπορούν να την ανακαλέσουν όταν διαγιγνώσκονται. Η δημιουργία ενός χρόνιου υποσκληρίδιου αιματώματος είναι πιο συνήθης στους ηλικιωμένους (η μέση ηλικία των ασθενών που διαγνώσκονται με χρόνιο υποσκληρίδιο αιμάτωμα είναι τα 63 έτη).

Οι διαταραχές της πήξεως του αίματος – σε αυτές συμπεριλαμβάνονται και οι φαρμακευτικά προκαλούμενες, όπως η χρήση αντιπηκτικών και αντιαιμοπεταλιακών φαρμάκων - επίσης συμβάλουν στη ευκολότερη δημιουργία αιμορραγιών και χρόνιων υποσκληρίδιων αιματωμάτων μετά από τραυματισμούς της κεφαλής. Η χρόνια κατάχρηση οινοπνευματωδών ποτών, ή οποία προκαλεί επίσης ατροφία του εγκεφάλου, διαταραχή της πήξεως και αυξημένη προδιάθεση για τραυματισμούς, είναι επίσης μια άλλη αιτία δημιουργίας αυτής της ειδικής κατηγορίας αιματωμάτων.

25% από τα χρόνια υποσκληρίδια αιματώματα είναι αμφοτερόπλευρα.

Συμπτώματα

Τα συμπτώματα του χρόνιου υποσκληριδίου αιματώματος αναπτύσσονται, όπως προαναφέρθηκε, εβδομάδες έως και μήνες μετά την κάκωση της κεφαλής. Αυτά είναι η κεφαλαλγία, η σύγχυση, η εμμένουσα ζάλη και αστάθεια, η αδυναμία ή/και η υπαισθησία (μούδιασμα) ενός ή περισσοτέρων άκρων, οι επιληπτικές κρίσεις, οι διαταραχές του λόγου (δυσαρθρία, δυσφασία), της προσωπικότητας (ευερεθιστότητα, βραδυψυχισμός), του επιπέδου συνειδήσεως (υπνηλία, λήθαργος), των ανωτέρων νοητικών λειτουργιών (δυσχέρεια μνήμης) κ.α. Η ένταση και το είδος των συμπτωμάτων εξαρτώνται από το μέγεθος και την θέση του αιματώματος. Η αργή ανάπτυξη των συμπτωμάτων μπορεί να δυσχεραίνει την παρατήρησή τους από τον ασθενή ή τους οικείους του.

Διάγνωση

Για τη διάγνωση απαιτούνται:

      Λήψη λεπτομερούς ιστορικού και κλινική εξέταση

Αξονική ή μαγνητική τομογραφία εγκεφάλου. Σε ορισμένες περιπτώσεις τα χρόνια υποσκληρίδια αιματώματα μπορεί έχουν την ίδια πυκνότητα στην απεικόνιση με το εγκεφαλικό παρέγχυμα ή να βρίσκονται ακόμη σε πρώϊμο στάδιο ανάπτυξης όσον αφορά στο μέγεθος και τη σύσταση, και αυτό μπορεί να καταστήσει την διάγνωση πιο δύσκολη.

Πρόγνωση

Η αυτόματη ίαση στα χρόνια υποσκληρίδια αιματώματα δεν είναι καθόλου συχνή λόγω του προαναφερόμενου μηχανισμού δημιουργίας τους, ο οποίος τείνει να συντηρεί, και στη συντριπτική πλειοψηφία τους, να αυξάνει το μέγεθός τους και κατά επέκταση την πίεση στον εγκέφαλο και τα συμπτώματα τους. Νέες αιμορραγίες εντός του αιματώματος μπορεί να αυξήσουν το μέγεθός του και να επιδεινώσουν τα συμπτώματα αιφνίδια. Για τους ανωτέρω λόγους μεγάλα ή/και συμπτωματικά αιματώματα πρέπει κατά κανόνα να χειρουργούνται άμεσα. Μικρά αιματώματα με πάχος κάτω του ενός εκατοστού έχουν γενικότερα καλύτερη πρόγνωση και μπορεί να απορροφηθούν χωρίς χειρουργική θεραπεία σε μακρύ χρονικό ορίζοντα (μήνες), αυτό όμως δεν αποτελεί σε καμμία περίπτωση εγγύηση για την εξέλιξή τους.

Θεραπεία

Η θεραπεία των χρόνιων υποσκληρίδιων αιματωμάτων είναι κατά κανόνα χειρουργική. Η επέμβαση είναι παροχέτευση του αιματώματος με τη βοήθεια κρανιοανατρήσεων, διάνοιξης δηλαδή 1 ή 2 οπών στο κρανίο του ασθενούς με σκοπό να μειωθεί ο όγκος και η πίεση του αιματώματος. Σε ορισμένες περιπτώσεις στις οποίες έχουν αναπτυχθεί διαφράγματα στο εσωτερικό του αιματώματος μπορεί να απαιτηθεί μια μικρή κρανιοτομία για να παροχετευθεί καλύτερα το αιμάτωμα. Δες ενότητα: Παροχέτευση Υποσκληρίδιου Αιματώματος.